症例
- HOME
- 症例
症例
たまプラーザむろき歯科・矯正歯科のマウスピース矯正の治療例の一部を症状別にご紹介いたします。
当院では、インビザライン Authorizationを取得している院長がすべての治療の診断、治療計画の立案を行っております。
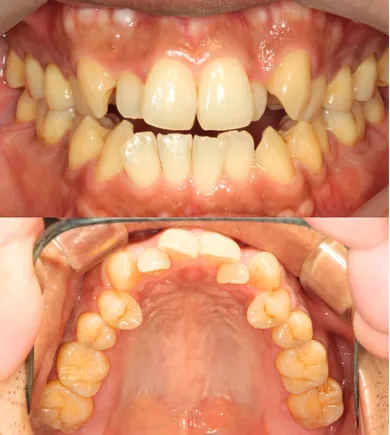
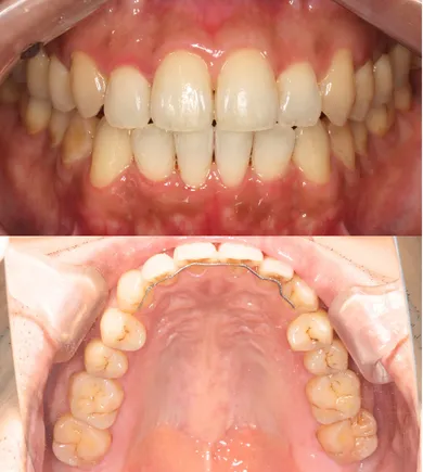
CASE:01 インビザライン症例①

Before

After
| 治療名 | アライナー矯正 |
|---|---|
| 執刀医 | 室木 貴行 |
| 患者情報 | 40代 男性 |
| 主訴 | しっかり噛めない箇所があり、将来自分の歯を失わないか不安だった。一生自分の歯で美味しい食事を楽しめるよう、今このタイミングでメンテナンスしやすい歯並びにしたい。 |
| 治療内容・選択理由 | インビザラインによる非抜歯矯正、側方拡大並びにIPR |
| 治療期間 | 2年 |
| 費用 | 80万円 |
| リスク | 後戻り、防止の為今回上顎は裏側からワイヤー固定を選択 |
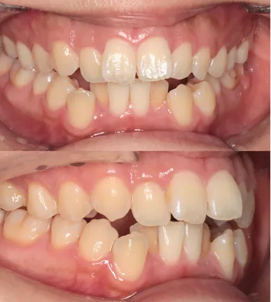
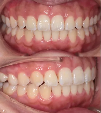
CASE:02 インビザライン症例②

Before

After
| 治療名 | アライナー矯正 |
|---|---|
| 執刀医 | 室木 貴行 |
| 患者情報 | 20代 女性 |
| 主訴 | 前歯のガタガタを治して、自信を持って笑顔になりたい。横顔のEラインを綺麗に整えたい。 |
| 治療内容・選択理由 | インビザラインによる非抜歯矯正、右下IPR並びに側方拡大 |
| 治療期間 | 2年 |
| 費用 | 80万円 |
| リスク | 後戻り、防止の為今回上顎は裏側からワイヤー固定を選択 |



















